Case File
Case No: 43
Malocclusion Type: Class II Malocclusion with Severe Anterior Crowding and Deepbite
Mechanics: MBT (3M)
Treatment: Non-Extraction and No Functional Appliances were used

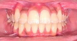
Intra-oral : Pre-treatment : Frontal View

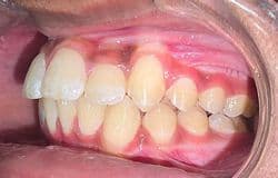
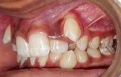
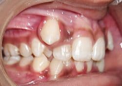
Intra-oral : Pre-treatment : Right Lateral View

Intra-oral : Pre-treatment : Left Lateral View

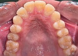
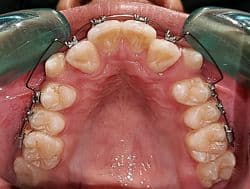
Intra-oral : Pre-treatment : Maxillary Occlusal View

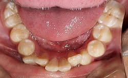
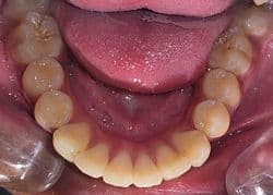
Intra-oral : Pre-treatment : Mandibular Occlusal View

Intra-oral : Mid-treatment : Frontal View

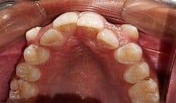
Intra-oral : Mid-treatment : Maxillary Occlusal View

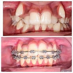
Intra-oral : Pre & Mid-treatment : Frontal View

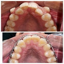
Intra-oral : Pre & Mid-treatment : Maxillary Occlusal View

Intra-oral : Post-treatment : Frontal View

Intra-oral : Post-treatment : Left Lateral View

Intra-oral : Post-treatment : Left Lateral View

Intra-oral : Post-treatment : Left Lateral View

Intra-oral : Post-treatment : Left Lateral View

Intra-oral : Post-treatment : Left Lateral View
Case No: 42
Malocclusion Type: Class II Malocclusion with Severe Anterior Crowding and Deepbite
Mechanics: MBT (3M)
Treatment: Non-Extraction and No Functional Appliances were used

Intra-oral : Pre-treatment : Frontal View

Intra-oral : Pre-treatment : Right Lateral View

Intra-oral : Pre-treatment : Left Lateral View

Intra-oral : Pre-treatment : Maxillary Occlusal View

Intra-oral : Pre-treatment : Mandibular Occlusal View

Intra-oral : Mid-treatment : Frontal View

Intra-oral : Mid-treatment : Maxillary Occlusal View

Intra-oral : Pre & Mid-treatment : Frontal View

Intra-oral : Pre & Mid-treatment : Maxillary Occlusal View

Intra-oral : Post-treatment : Frontal View

Intra-oral : Post-treatment : Left Lateral View

Intra-oral : Post-treatment : Left Lateral View

Intra-oral : Post-treatment : Left Lateral View

Intra-oral : Post-treatment : Left Lateral View

Intra-oral : Post-treatment : Left Lateral View
